Lateral Epicondylitis Test
The epicondyles are located on the medial (inside), and lateral (outside), part of the elbow. They form the end of the upper arm bone called the humerus. Lateral epicondylitis or Tennis Elbow, occurs from partial or complete tears of the tendons of the forearm caused by overuse, and these tears initially cause pain and inflammation. There are many treatment options for a tennis elbow, and a lateral epicondylitis test is used to determine how physical therapists, doctors, and in some cases surgeons, work together to provide the most effective care.
Symptoms of Lateral Epicondylitis
Symptoms of lateral epicondylitis include tenderness and pain on the outside of the elbow. The pain and tenderness may also radiate into the upper or lower arm. Even though the damage is at the elbow, you're likely to feel pain when doing things with your hands. Other signs of lateral epicondylitis may include:
Tests to DiagnoseLateral Epicondylitis
A lateral epicondylitis test is used to help a doctor make a diagnosis based on signs and symptoms in conjunction with a physical exam. Imaging such as x-rays and MRIs is not needed for diagnosis, but is often used to rule out other possibilities. Some things your doctor might ask include, how your symptoms developed, recreational sports participation, and any occupational risk factors you may have. Other questions may include the location of your pain, and if you have any history of pain such as, rheumatoid Arthritis, nerve disease, or any past injury to your elbow.Your doctor would then do a physical examination.
1. Mill’s Test
The examiner uses one hand and thumb on the lateral epicondyle, and the other hand on the patient's wrist. The examiner passively holds the forearm while fully flexing the wrist and extending the elbow of the involved arm. Any increase in pain during the movement over the lateral epicondyle of the humerus is a positive test that indicates the possibility of lateral epicondylitis or tennis elbow. However, the lateral epicondylitis test also compresses and Stresses the radial nerve that could produce symptoms similar to those of lateral epicondylitis.
2. X-Rays
These tests provide a photographic or digital image of dense structures like bone. They may be used to rule out Rheumatoid Arthritis of the elbow.
Patient's X-ray of elbow with lateral calcification from chronic lateral epicondylitis
3. Magnetic Resonance Imaging (MRI) Scan
An MRI scan may be ordered if your doctor thinks your symptoms are related to a neck problem.MRI scans show soft tissue details, and will help your doctor determine if you have a possible herniated disk or arthritis in your neck. Both of these conditions can often produce arm pain.
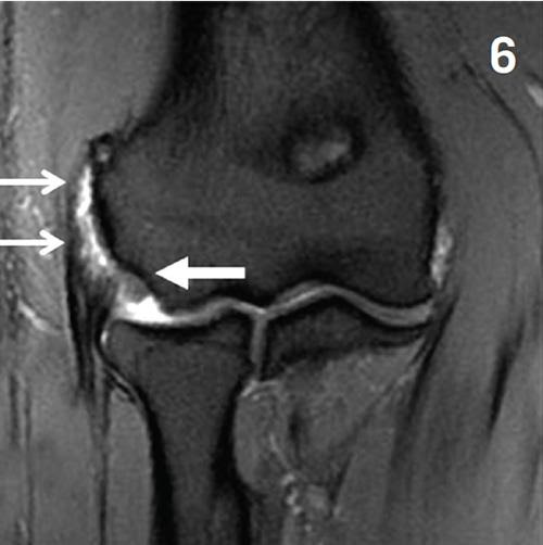
This MRI image shows a 45-year-old tennis player with chronic lateral elbow pain and a clinical diagnosis of tennis elbow. The intermediate-weighted (IW) fat suppressed fast spin echo sequences of the elbow shows thickening, and a bright area within the tendon that attaches to the lateral epicondyle of the humerus (small arrows). Note that the attachment of the thick triangular tendon at the proximal aspect of the ulna (large arrow) is intact but is thickened and irregular.
4. Electromyography (EMG)
The doctor might order an EMG to rule out nerve compression or nerve damage. Many nerves travel around the elbow, and the symptoms of nerve damage can be similar to those of lateral epicondylitis.
Lateral Epicondylitis Treatment
With your lateral epicondylitis tests results, your doctor will decide the proper treatments options for you. Tennis elbow sometimes gets better on its own, but if over-the-counter pain medications and other self-care measures aren't helping, your doctor may suggest physical therapy. However, severe cases of tennis elbow may require surgery.
1. Initial Treatments
2. Physical Therapy
Sometimes your doctor will order physical therapy as soon as you are able to strengthen the muscles, and it usually begins with static or isometric exercises. It involves contracting the forearm muscles without moving the wrist or hand.
The arm is positioned with the palm and forearm facing down, and the purpose is to extend the wrist (upwards) against resistance from your hand or the therapist's hand. Maintain the contraction for 5 seconds, then rest for a moment and repeat at least 10-15 times while not moving the wrist.
The more advanced sessions may include dynamic strengthening exercises that involve more movement. It includes wrist extension exercises using resistance bands to resist the movement or a weight. The load is increased gradually over time. Using an elastic band over the fingers can used as the arm becomes stronger.
3. Surgery
If your lateral epicondylitis symptoms have not improved after 6 to 12 months of extensive physical therapy, you may have a need for surgery to remove damaged tissue. These types of surgeries can be performed with several small incisions, or a large incision in the joint. Rehabilitation and physical therapy exercises are crucial for full recovery.
The epicondyles are located on the medial (inside), and lateral (outside), part of the elbow. They form the end of the upper arm bone called the humerus. Lateral epicondylitis or Tennis Elbow, occurs from partial or complete tears of the tendons of the forearm caused by overuse, and these tears initially cause pain and inflammation. There are many treatment options for a tennis elbow, and a lateral epicondylitis test is used to determine how physical therapists, doctors, and in some cases surgeons, work together to provide the most effective care.
Symptoms of Lateral Epicondylitis
Symptoms of lateral epicondylitis include tenderness and pain on the outside of the elbow. The pain and tenderness may also radiate into the upper or lower arm. Even though the damage is at the elbow, you're likely to feel pain when doing things with your hands. Other signs of lateral epicondylitis may include:
- A gradual increasing pain on the lateral (outside) parts of the elbow
- Pain associated with extension of the wrist such as the repetitive use of a screwdriver, lifting heavy objects, or a backhand tennis Stroke
- In severe cases, pain can occur with such simple activities as turning a doorknob or holding a teacup
- Pain can sometimes radiate down outside part of the arm
Tests to DiagnoseLateral Epicondylitis
A lateral epicondylitis test is used to help a doctor make a diagnosis based on signs and symptoms in conjunction with a physical exam. Imaging such as x-rays and MRIs is not needed for diagnosis, but is often used to rule out other possibilities. Some things your doctor might ask include, how your symptoms developed, recreational sports participation, and any occupational risk factors you may have. Other questions may include the location of your pain, and if you have any history of pain such as, rheumatoid Arthritis, nerve disease, or any past injury to your elbow.Your doctor would then do a physical examination.
1. Mill’s Test
The examiner uses one hand and thumb on the lateral epicondyle, and the other hand on the patient's wrist. The examiner passively holds the forearm while fully flexing the wrist and extending the elbow of the involved arm. Any increase in pain during the movement over the lateral epicondyle of the humerus is a positive test that indicates the possibility of lateral epicondylitis or tennis elbow. However, the lateral epicondylitis test also compresses and Stresses the radial nerve that could produce symptoms similar to those of lateral epicondylitis.
2. X-Rays
These tests provide a photographic or digital image of dense structures like bone. They may be used to rule out Rheumatoid Arthritis of the elbow.
Patient's X-ray of elbow with lateral calcification from chronic lateral epicondylitis
3. Magnetic Resonance Imaging (MRI) Scan
An MRI scan may be ordered if your doctor thinks your symptoms are related to a neck problem.MRI scans show soft tissue details, and will help your doctor determine if you have a possible herniated disk or arthritis in your neck. Both of these conditions can often produce arm pain.
This MRI image shows a 45-year-old tennis player with chronic lateral elbow pain and a clinical diagnosis of tennis elbow. The intermediate-weighted (IW) fat suppressed fast spin echo sequences of the elbow shows thickening, and a bright area within the tendon that attaches to the lateral epicondyle of the humerus (small arrows). Note that the attachment of the thick triangular tendon at the proximal aspect of the ulna (large arrow) is intact but is thickened and irregular.
4. Electromyography (EMG)
The doctor might order an EMG to rule out nerve compression or nerve damage. Many nerves travel around the elbow, and the symptoms of nerve damage can be similar to those of lateral epicondylitis.
Lateral Epicondylitis Treatment
With your lateral epicondylitis tests results, your doctor will decide the proper treatments options for you. Tennis elbow sometimes gets better on its own, but if over-the-counter pain medications and other self-care measures aren't helping, your doctor may suggest physical therapy. However, severe cases of tennis elbow may require surgery.
1. Initial Treatments
- Rest:The first thing you're going to want to do is give your affected arm a rest.Meaning no heavy lifting or sports until it heals.
- Medications: Your doctor may choose to use steroid injections such as cortisone. Otherwise, purchase some over the counter medication such as, aspirin or ibuprofen from your local pharmacy to help reduce pain and swelling.
- Equipment check: Your doctor may encourage you to have your equipment checked for proper fit if you participate in a racquet sport.
- Proper posture: Your doctor might suggest you get tennis experts to evaluate your technique. Remember to follow proper posture and take steps to reduce stress on your injured tissue.
- Braces: Your doctor may also suggest you wear a brace or forearm strap to help reduce stress on the injury.
2. Physical Therapy
Sometimes your doctor will order physical therapy as soon as you are able to strengthen the muscles, and it usually begins with static or isometric exercises. It involves contracting the forearm muscles without moving the wrist or hand.
The arm is positioned with the palm and forearm facing down, and the purpose is to extend the wrist (upwards) against resistance from your hand or the therapist's hand. Maintain the contraction for 5 seconds, then rest for a moment and repeat at least 10-15 times while not moving the wrist.
The more advanced sessions may include dynamic strengthening exercises that involve more movement. It includes wrist extension exercises using resistance bands to resist the movement or a weight. The load is increased gradually over time. Using an elastic band over the fingers can used as the arm becomes stronger.
3. Surgery
If your lateral epicondylitis symptoms have not improved after 6 to 12 months of extensive physical therapy, you may have a need for surgery to remove damaged tissue. These types of surgeries can be performed with several small incisions, or a large incision in the joint. Rehabilitation and physical therapy exercises are crucial for full recovery.
No comments:
Post a Comment